
COSMETIC DENTISTRY
Expert Contributor
Center for Advanced Cosmetic Dentistry
Temporomandibular Dysfunction, commonly known as TMD, refers to a group of conditions affecting the jaw joint and surrounding muscles. This dysfunction can lead to significant discomfort and various complications, including chronic pain, difficulty in jaw movement, and other related symptoms.
Individuals suffering from TMD often experience a range of symptoms. Some of the most common signs include jaw pain: discomfort is typically felt in and around the jaw, which can radiate to the neck and shoulders. Clicking or popping sounds: many patients may notice sounds in the jaw joint when they open or close their mouth. Limited jaw movement: some may find it difficult to fully open or close their mouth, resulting in restricted movement. Headaches: these can range from mild to severe and are often described as tension-type headaches. Facial pain: pain can extend to the face, particularly around the cheeks and temples. Ear symptoms: patients might report ringing in the ears (tinnitus), ear aches, or a feeling of fullness.
There is a significant link between TMD and sleep apnea, a serious condition where breathing repeatedly stops and starts during sleep. Individuals with TMD may experience disrupted sleep patterns, which can exacerbate the symptoms of both conditions. This connection often manifests through muscle tension where the muscles involved in both conditions can become tense, leading to further discomfort and exacerbating each other. Individuals who suffer from sleep apnea often clench their jaws during the night, which can strain the temporomandibular joint (TMJ) and worsen TMD symptoms. Inadequate airflow during sleep can lead to increased stress and irritability, causing individuals to unconsciously tighten their jaw muscles. Treating TMD can potentially alleviate sleep apnea symptoms, leading to better overall sleep quality and health.




A neuromuscular dentist specializes in diagnosing and treating TMD and related conditions. Their approach focuses on the relationship between the jaw, nerves, and muscles. One common treatment technique is the use of orthotics, specifically designed dental devices that can help realign the jaw. How orthotic treatment works, the dentist conducts a thorough examination, including evaluating the bite, jaw movement, and muscle tension. This assessment often involves imaging technology to understand the jaw’s position and alignment better. Once the assessment is complete, a custom orthotic is designed to fit the patient’s mouth. This device is typically made from a durable, comfortable material and is worn on the upper or lower jaw. Orthotics work by stabilizing the jaw in a neutral position. This position minimizes tension on the TMJ and related muscles, helping reduce pain and awkward jaw movements. By allowing the jaw to rest in its natural position, orthotics promote muscle relaxation. This can significantly alleviate pain associated with TMD and potentially reduce the severity or frequency of symptoms related to sleep apnea. Regular follow-ups with the neuromuscular dentist are crucial to monitor progress and make any necessary adjustments to the orthotic. This ongoing care ensures that treatment remains effective.
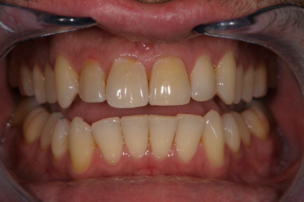
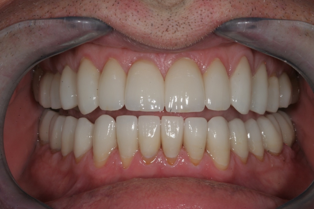
Temporomandibular Dysfunction is a multifaceted condition with various signs and symptoms that significantly impact daily life and sleep quality. The relationship between TMD and sleep apnea highlights the importance of addressing both issues collaboratively. Neuromuscular dentistry offers valuable solutions through orthotic treatment, aiming to provide relief and improve overall health. Early intervention and tailored treatment plans can lead to a significant improvement in the quality of life for those suffering from these complex conditions. If you suspect you have TMD or experience symptoms related to sleep apnea, consulting a qualified professional can set you on the path to recovery. Dr. Crescenzo and his team have had extensive training in the treatment of TMD and OSA using the knowledge and skills received at the Las Vegas Institute. Advanced dental study combined with additional training from the Vivos Institute has bridged the gap of poor oral health and chronic medical issues to provide correction of functional issues. In doing so, this has led to long term successful dental treatment with a byproduct of exceptional esthetics.

